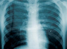
Fokus-og-handling-giver-mindre-sygdomSynkning af mundhulebakterier bliver i stigende grad kædet sammen med penunomi (lungebetændelse) som følgevirkning.

I en undersøgelse på elleve Japanske plejehjem deltog 417 tilfældigt udvalgte plejehjemsbeboere i en større undersøgelse af, om mundplejeprogrammer havde nogen effekt. Deltagerne blev delt op i to grupper.

Gruppe 1 modtog ingen ekstra hjælp til mundpleje. Gruppe 2 fik dagligt tandbørstehjælp af plejehjems- eller sygeplejepersonale. Her udover fik gruppe 2 besøg af tandlæge eller tandplejer én gang om ugen. Resultaterne fra undersøgelsen viste, at plejehjemsbeboerne fra gruppe 2 oplevede færre dage med feber, færre lungebetændelser, herunder lungebetændelser med dødeligt udfald. Endelig viste undersøgelsen en vis sammenhæng i mellem god mundhygiejne og beboernes daglige aktivitetsniveau samt ”egen erkendelse”.